70li yaşların başında qadın xəstə sağ aşağı ətrafda fiziki yükə bağlı ağrılarla müraciət etmişdir.Təqribən 200 metr məsafəyə qədər yerimənin ağrısız olduğunu qeyd edir (Fontaine IIb mərhələsinə uyğun). İstirahət zamanı ağrı və dəridə lezyonlar müşahidə olunmasa da,həyat keyfiyyətində ciddi məhdudiyyətlər yaradıb. Baxış zamanı hər iki ayaq isti və çəhrayıdır,ciddi işemik əlamətlər yoxdur.Nəbz sadəcə sol tərəfdə tamamilə palpasiya edilir,sağ tərəfdə A.femoralis communis palpasiya edilir.
Aparılmış apparativ müayinələr:
CW-Doppler (fasiləsiz dalğalı doppleroqrafiya rejimi)/ABI (Topuq-Bazu İndeksi) ölçümü: Sağ tərəf: 0,54; sol tərəf: 1,0. Nərticə: Sağ tərəfdə patoloji, sol tərəfdə normal ABI göstərici.
Rəngli dupleks sonoqrafiya:
- Sağ A. femoralis communis-in (ümumi bud arteriyası) subtotal tutulması;
- AFS (A. femoralis superficialis) və APF-də (A. poplitea profundus) güclü, lakin monofazalı siqnal (proksima seqmentdə xroniki tutulmanın göstəricisi)
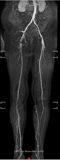
MR-Angiografiya (Şəkil 1):
- Sağ A. femoralis communis-in tam tutulmas
- AFS və APF kollaterallar vasitəsilə yenidən qanla dolu
- Aşağı hissədə yüksək dərəcəli daralmalar yoxdur, yaxşı üçdamarlı qan axını mövcuddu
- Sol tərəf: patologiya aşkar edilməyib

Şəkil 1.Çanaq və ayaq arteriyalarının MR-angiografiyası sağ A. femoralis communis-in tıxanmasını göstərir. A. femoralis superficialis və A. profunda femoris açıqdır.Sağ tərəfdə baldırın yuxarı hissəsində (proksimal hissəsində) üç damarla təchizat mövcuddur.Baldırın aşağı hissəsində (distal hissəsində) venoz strukturların üst-üstə düşməsi bu sahənin qiymətləndirilməsini məhdudlaşdırır.